Understanding Shingles: Prevention and Relief with Shingles Stop
Share
Shingles is a painful and often debilitating condition that affects millions of people worldwide. Caused by the reactivation of the varicella-zoster virus—the same virus responsible for chickenpox—Shingles can lead to a range of symptoms, from a painful rash to long-term nerve pain. While a vaccine is available to help prevent Shingles, it’s not entirely foolproof, leaving some individuals still vulnerable. For those who do develop Shingles, managing symptoms can be challenging. Enter Shingles Stop, a natural formula designed to alleviate the discomfort associated with Shingles. In this blog post, we’ll dive into what Shingles is, explore the effectiveness of the Shingles vaccine, and discuss how Shingles Stop offers a complementary approach to symptom relief— backed by reputable sources.
What is Shingles?
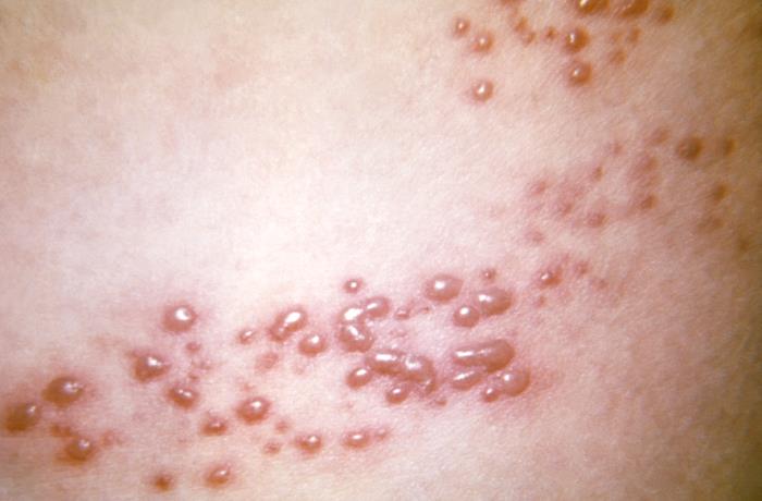
Shingles, medically known as herpes zoster, occurs when the varicella-zoster virus, dormant in the body after a chickenpox infection, reactivates. This can happen years or even decades later, often triggered by stress, aging, or a weakened immune system. The hallmark symptom is a painful rash, typically appearing as a band or strip of blisters on one side of the body—commonly the torso, neck, or face. Accompanying symptoms may include itching, burning, and heightened sensitivity to touch. In some cases, Shingles can lead to complications like postherpetic neuralgia (PHN), where nerve pain lingers long after the rash heals.
According to the Mayo Clinic, Shingles is more prevalent among older adults and those with compromised immune systems. While it’s not directly contagious, a person with active Shingles can transmit the virus to someone who hasn’t had chickenpox, potentially causing chickenpox in that individual.
The Shingles Vaccine: Efficacy and Limitations
Prevention is a key strategy in managing Shingles, and the Shingrix vaccine is the gold standard. Recommended by the CDC for adults aged 50 and older, as well as those 19 and up with weakened immune systems, Shingrix is administered in two doses, 2-6 months apart. Clinical trials show it’s over 90% effective at preventing Shingles and PHN in adults with healthy immune systems. However, real-world effectiveness may drop to around 76% over four years, according to research from the Kaiser Permanente Vaccine Study Center.
Despite its impressive efficacy, Shingrix isn’t a guaranteed shield. Some vaccinated individuals still develop Shingles, especially those with risk factors like immune suppression. This gap underscores the need for effective symptom management options when prevention falls short.
Introducing Shingles Stop: A Natural Remedy
For those who experience Shingles—whether vaccinated or not—relieving symptoms becomes critical. Enter Shingles Stop, the world’s only all-natural formula for Shingles rash relief. This over-the-counter product soothes itching, burning, and pain, offering a non-prescription alternative to antiviral medications or pain relievers. With a 30-day money-back guarantee and no reported side effects, it is a safe, accessible option.
While Shingles Stop is a product that aligns with the popularity of natural remedies, providing a convenient, topical solution for those seeking relief without a doctor’s visit.
Comparative Analysis: Vaccine vs. Symptom Management
To clarify how prevention and symptom relief fit into Shingles care, here’s a side-by-side comparison of Shingrix and Shingles Stop:
|
Aspect
|
Shingrix (Vaccine)
|
Shingles Stop (Cream)
|
|---|---|---|
|
Purpose
|
Prevents Shingles and PHN
|
Relieves symptoms (rash, itch, pain)
|
|
Effectiveness
|
Over 90% in trials, 76% real-world (4 yrs)
|
Quick relief
|
|
Administration
|
Two-dose injection, 2-6 months apart
|
Topical, twice daily. no prescription required
|
|
Side Effects
|
Mild (e.g., injection site pain, fatigue)
|
No known side effects, unless allergic to an ingredient
|
|
Cost and Access
|
Prescription, often insurance-covered with possuble co-pay
|
Over-the-counter, 30-day guarantee
|
This table shows that Shingrix and Shingles Stop serve distinct yet complementary roles. The vaccine focuses on prevention, while Shingles Stop targets symptom relief—a duo that could offer a well-rounded approach to Shingles management.
Conclusion and Recommendations
Shingles can significantly disrupt daily life, particularly for older adults or those with weakened immunity. The Shingrix vaccine provides robust prevention, reducing the risk of Shingles and its complications by over 76%. However, its limitations mean some people will still need relief options. Shingles Stop fills this gap with a natural, user-friendly solution for managing rash-related discomfort.
That said, natural remedies like Shingles Stop should complement—not replace—medical advice. Severe Shingles cases may require antiviral drugs or other treatments, so consulting a healthcare provider is essential. For those curious about Shingles Stop, its money-back guarantee makes it a low-risk option to try.
In short, combining vaccination for prevention and natural remedies for relief can empower you to tackle Shingles effectively. Stay informed, consult your doctor, and explore options like Shingles Stop to find what works best for you.
FAQ: Shingles, Prevention, and Relief with Shingles Stop
Q: What is Shingles and what are its symptoms?
A: Shingles, or herpes zoster, is caused by the reactivation of the varicella-zoster virus, the same virus responsible for chickenpox. After recovering from chickenpox, the virus remains dormant in the body and can reactivate later in life as Shingles.
A: Shingles, or herpes zoster, is caused by the reactivation of the varicella-zoster virus, the same virus responsible for chickenpox. After recovering from chickenpox, the virus remains dormant in the body and can reactivate later in life as Shingles.
Symptoms typically include:
-
A painful rash with blisters, usually on one side of the body
-
Itching, burning, or sensitivity to touch
-
In some cases, postherpetic neuralgia (PHN), a lingering nerve pain after the rash heals
Q: How effective is the Shingles vaccine?
A: The Shingrix vaccine is highly effective, with clinical trials showing over 90% effectiveness in preventing Shingles and PHN in adults with healthy immune systems. Real-world data, however, suggests its effectiveness may be around 76% over four years. While it significantly reduces the risk, it’s not foolproof, and about 24% of vaccinated individuals may still get Shingles.
A: The Shingrix vaccine is highly effective, with clinical trials showing over 90% effectiveness in preventing Shingles and PHN in adults with healthy immune systems. Real-world data, however, suggests its effectiveness may be around 76% over four years. While it significantly reduces the risk, it’s not foolproof, and about 24% of vaccinated individuals may still get Shingles.
Q: What is Shingles Stop and how does it work?
A: Shingles Stop is an all-natural, over-the-counter formula designed to relieve Shingles symptoms, such as rash, itching, burning, and pain. It works by soothing the skin and reducing irritation, offering fast relief without a prescription. Its natural ingredients make it a safe and accessible option for symptom management.
A: Shingles Stop is an all-natural, over-the-counter formula designed to relieve Shingles symptoms, such as rash, itching, burning, and pain. It works by soothing the skin and reducing irritation, offering fast relief without a prescription. Its natural ingredients make it a safe and accessible option for symptom management.
Q: Is Shingles Stop safe to use with other medications?
A: Shingles Stop is made from natural ingredients and has no known side effects, so it’s generally safe to use with other medications. That said, it’s always a good idea to check with your healthcare provider before starting any new treatment, especially if you’re on other medications or have existing health conditions.
A: Shingles Stop is made from natural ingredients and has no known side effects, so it’s generally safe to use with other medications. That said, it’s always a good idea to check with your healthcare provider before starting any new treatment, especially if you’re on other medications or have existing health conditions.
Q: How do I use Shingles Stop?
A: Shingles Stop is a topical formula. Apply it directly to the affected area as instructed on the packaging twice daily. Follow the directions carefully to get the best results.
A: Shingles Stop is a topical formula. Apply it directly to the affected area as instructed on the packaging twice daily. Follow the directions carefully to get the best results.
Q: Where can I buy Shingles Stop?
A: You can purchase Shingles Stop over-the-counter online—no prescription required.
A: You can purchase Shingles Stop over-the-counter online—no prescription required.
Q: Does Shingles Stop come with a money-back guarantee?
A: Yes, Shingles Stop offers a 30-day money-back guarantee. If you’re not happy with the product, you can return it within 30 days for a full refund.
A: Yes, Shingles Stop offers a 30-day money-back guarantee. If you’re not happy with the product, you can return it within 30 days for a full refund.